Dr. Leonardo Paiva
Cirurgias Estéticas Faciais, Tratamento das Doenças da ATM/DTM e Implantes Dentários
A Clínica
A segurança é um fator primordial na realização de cirurgias. Pensando nisso, dispomos de toda a estrutura de suporte para o atendimento inicial das emergências médicas (tal como desfibrilador, cilindro de oxigênio, equipamentos para ventilação, monitorização cardíaca, drogas emergenciais), tornando o seu procedimento muito mais seguro.
Viscossuplementação



Artrocentese (Lavagem Articular)


Artroscopia da ATM




Bichectomia


Imagens autorizadas via TCLE arquivado no prontuário.
Dr Leonardo Costa de Almeida Paiva
Cirurgião Bucomaxilofacial
CRO-PB 4550
Resultados sujeitos aos cuidados e variabilidade individual dos pacientes. Divulgação ética conforme Resolução CFO 196/2019″.
Implantes Faciais (próteses)




Publicação de acordo com a RN 196/19 do CFO
Cirurgiões:
Leonardo Costa de Almeida Paiva
CRO PB | 4550
Tarcísio Souto Montenegro Neto
CRM PB | 11996
Cirurgia Ortognática




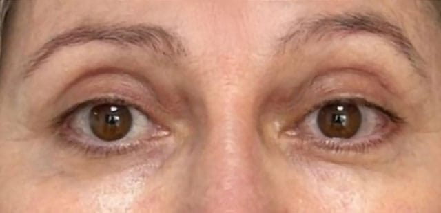
Imagens autorizadas via TCLE arquivado no prontuário.
Dr Leonardo Costa de Almeid Paiva
Cirurgião Bucomaxilofacial
CRO-PB 4550
Resultados sujeitos aos cuidados e variabilidade individual dos pacientes. Divulgação ética conforme Resolução CFO 196/2019″.
Rejuvenescimento do Olhar








Publicação de acordo com a RN 196/19 do CFO
Cirurgiões:
Leonardo Costa de Almeida Paiva
CRO PB | 4550
Tarcísio Souto Montenegro Neto
CRM PB | 11996
Rejuvenescimento TemporoOrbital


Publicação de acordo com a RN 196/19 do CFO
Cirurgiões:
Leonardo Costa de Almeida Paiva
CRO PB | 4550
Tarcísio Souto Montenegro Neto
CRM PB | 11996
Lifting Labial


Publicação de acordo com a RN 196/19 do CFO
Cirurgiões:
Leonardo Costa de Almeida Paiva
CRO PB | 4550
Tarcísio Souto Montenegro Neto
CRM PB | 11996
Lipo de Papada HD


Imagens autorizadas via TCLE arquivado no prontuário.
Dr Leonardo Costa de Almeida Paiva
Cirurgião Bucomaxilofacial
CRO-PB 4550
Resultados sujeitos aos cuidados e variabilidade individual dos pacientes. Divulgação ética conforme Resolução CFO 196/2019″.
Rejuvenescimento Facial




















Publicação de acordo com a RN 196/19 do CFO
Cirurgiões:
Leonardo Costa de Almeida Paiva
CRO PB | 4550
Tarcísio Souto Montenegro Neto
CRM PB | 11996
Rejuvenescimento Cervical (Pescoço)
PLATISMOPLASTIA e CERVICOPLASTIA






Publicação de acordo com a RN 196/19 do CFO
Cirurgiões:
Leonardo Costa de Almeida Paiva
CRO PB | 4550
Tarcísio Souto Montenegro Neto
CRM PB | 11996
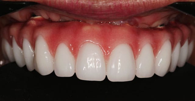
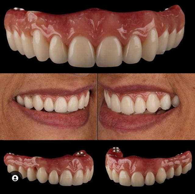
Implantes Dentários




Publicação de acordo com a RN 196/19 do CFO
Cirurgiões:
Leonardo Costa de Almeida Paiva
CRO PB | 4550
Tarcísio Souto Montenegro Neto
CRM PB | 11996
Resultados


Bichectomia


Cirurgia Ortognática


Rejuvenescimento Facial


Implantes Dentários


Rejuvenescimento do Olhar


Lifting Labial


Lipo de Papada HD


Rejuvenescimento TemporoOrbital


Implantes Faciais (Próteses)


Rejuvenescimento Cervical


Rejuvenescimento Facial
Imagens autorizadas via TCLE arquivado no prontuário.
Dr Leonardo Costa de Almeida Paiva
Cirurgião Bucomaxilofacial
CRO-PB 4550
Resultados sujeitos aos cuidados e variabilidade individual dos pacientes. Divulgação ética conforme Resolução CFO 196/2019″.
Procedimentos
Cirurgias Faciais / Procedimentos Minimamente Invasivos
Cirurgia dos Dentes Inclusos
Cirurgia Bucal
Cistos e Tumores dos Maxilares
Prevenção do Câncer Bucal
Implantes
Reconstrução Óssea dos Maxilares
Cirurgia Guiada para Implantes Dentários
Protocolo, Todos em Quatro
ATM & DTM
Biossuplementação
Cirurgia da ATM
Prótese de ATM
Pioneirismo e Inovação no Tratamento das ATMs
Somos pioneiros no estado da Paraíba na realização de infiltrações medicamentosas e de agregados plaquetários (PRP) diretamente nos compartimentos superior e inferior das articulações temporomandibulares (ATMs), com total precisão e segurança, guiadas por ultrassonografia.
Esse método avançado permite um diagnóstico mais preciso e um tratamento minimamente invasivo, promovendo alívio da dor, melhora da função articular e aceleração do processo de regeneração dos tecidos.
Nosso compromisso é oferecer técnicas modernas, respaldadas por evidências científicas, para proporcionar mais conforto, segurança e resultados efetivos aos nossos pacientes.
Dr. Leonardo Paiva
- Residência em Cirurgia e Traumatologia Bucomaxilofacial pelo Hospital Regional do Agreste (PE);
- Especialista em Implantodontia pelo Unipê (João Pessoa/.PB);
- Membro do corpo clínico do Hospital de Emergência e Trauma Senador Humberto Lucena em João Pessoa/PB;
- Cirurgião bucomaxilofacial da Prefeitura Municial de João Pessoa/PB;
- Atendimento privado em sua clínica no World Medical Center em Campina Grande;
- Pós graduado em Cirurgia e Artroscopia da ATM pelo MARC Institute (Miami/USA), IRCAD (Barretos/SP) e Strattner (São Paulo/SP);
- Pós graduado em Cirurgia Ortognática e deformidades dentofaciais pelo grupo JRG (Araraquara/SP);
- Pós graduado em Harmonização Facial pelo grupo Dentista Facial
- Pós graduado em Cirurgias Estéticas Faciais pela Clínica Raulino Brasil
CRO PB 4550
Cirurgião Bucomaxilofacial
Leonardo Costa de Almeida Paiva
CRO PB 4550
Cirurgião Bucomaxilofacial
Implantodontista