O mais moderno tratamento para a DTM

A DTM – Disfunção Têmporomandibular é o funcionamento anormal da articulação têmporomandibular (ATM). Esta, a mais complexa articulação do corpo humano.ATM é a articulação responsável pelos movimentos da boca: comer, engolir, mastigar, bocejar e falar. Existe uma ATM em cada lado da face.

DTM é a abreviação de disfunção da articulação têmporomandibular e serve para designar as doenças na ATM e nos músculos que fazem esses movimentos da boca. Assim como nossas articulações dos joelhos e cotovelos adoecem, a ATM também pode desenvolver alguma alteração. A maior parte dessas disfunções é tratada de forma conservadora (clínica).

No entanto, existem algumas alterações que necessitam de procedimento cirúrgico para sua correção.

Os sinais de que há problemas a serem corrigidos são:

  • ruídos articulares (estalido ou crepitação);
  • dor à apalpação nos músculos da mastigação e cervicais.

As queixas frequentes são:

  • dores de cabeça, de ouvido, na face, na ATM e estalos.

Para saber se você tem disfunção na ATM, responda às questões e busque ajuda de um especialista.

  • Está ciente que tem o hábito da “ranger” os dentes enquanto dorme?
  • Acorda com a musculatura da face dolorida?
  • Tem dores de cabeça frequentemente?
  • É uma pessoa estressada e ansiosa?
  • Percebe que aperta os dentes quando está nervoso ou estressado?
  • A sua ATM estala, trava ou dói quando abre a boca?
  • Tem dificuldade ou dor para abrir a boca, comer ou bocejar?
  • Sente dores na face quando mastiga?
  • Já teve ou tem artrite em outras articulações?
  • Tem dor nos dentes da frente para morder ou cortar alimentos?
  • Os dentes são sensíveis, frouxos, quebrados ou desgastados?
  • Você Já procurou um Neurologista, um Otorrino e não diagnosticou o seu problema ainda?

Se a resposta foi sim para maior parte das perguntas, você pode estar com DTM.

 

SAIBA MAIS SOBRE A ARTROSCOPIA – O MAIS MODERNO TRATAMENTO PARA OS CASOS CIRÚRGICOS DA DTM

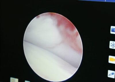
A artroscopia da ATM tem representado uma grande evolução nos últimos anos, sendo utilizada em casos onde o paciente não responde aos métodos não invasivos. Assim, para quais casos o procedimento é indicado?



Leonardo Paiva – A maioria dos casos de problemas na ATM são tratados de forma conservadora por meio do uso de dispositivos intraorais, terapia auxiliar medicamentosas e fisioterapia. Porém, existem algumas situações em que o paciente não apresenta melhora com as terapias conservadoras e a partir daí pode necessitar de alguma intervenção dentro da ATM em si. Em dias passados essas intervenções eram mais invasivas e agressivas. No entanto, hoje com a evolução, existe a possibilidade de tratarmos tais problemas por via artroscópica, ou seja, sem incisões ou cortes, e sim de maneira minimamente invasiva, pois trata-se de uma vídeocirurgia.

Como é realizada a artroscopia?



Leonardo Paiva – Parte do princípio de que se trata de uma cirurgia minimamente invasiva. Inserimos uma cânula de menos de 2 mm de diâmetro no interior da ATM e a partir daí temos uma visão direta dos tecidos internos. Por meio de nossos instrumentais específicos podemos manipular e corrigir as alterações presentes de maneira menos agressiva.

E quanto ao pós-operatório, quais as vantagens da artroscopia em relação a outros procedimentos?



Leonardo Paiva – Uma das principais vantagens da artroscopia da ATM é o pós- operatório, pois ele é bem mais confortável do que o de uma cirurgia tradicional. Com a artroscopia, o paciente tem um retorno bem mais rápido às suas atividades normais, menor edema, menor desconforto, assim como reduzidos riscos cirúrgicos. Geralmente é realizado no sistema denominado “Day-Clinic” onde o paciente retorna para casa no mesmo dia do procedimento.

Embora pouco conhecido na Paraíba, o procedimento vem sendo executado com frequência no Brasil , principalmente em quais centros?



Leonardo Paiva – Apesar de já ser uma realidade há mais de 20 anos em outros centros no mundo, principalmente nos Estados Unidos, Espanha e China, a artroscopia no Brasil é uma possibilidade recente. Em São Paulo o procedimento já vem sendo realizado com maior frequência, mas outros profissionais também estão participando de treinamentos em centros de referência e trazendo essa nova realidade para suas regiões, como é o caso de Campina Grande e João Pessoa, onde realizamos o procedimento.